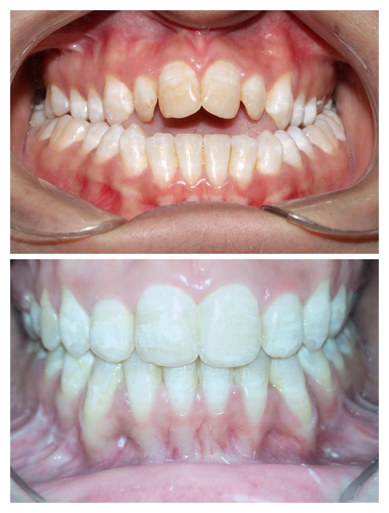
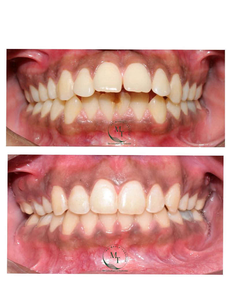
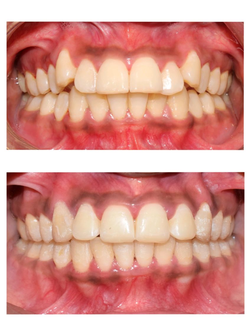
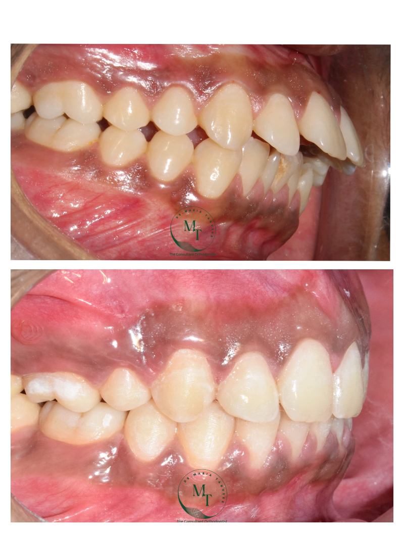
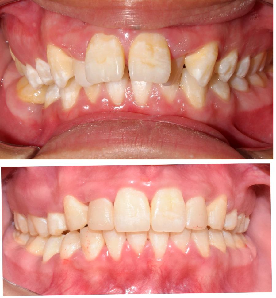
Gallery
Our Before & After Gallery showcases real smile transformations achieved through expert dental care. From whitening and alignment to full restorations, each case reflects the quality of our treatments. See how we help patients regain confidence, one smile at a time.
Our Clinic Gallery
Explore the Braces Faces Clinic Gallery showcasing our modern dental facility, state-of-the-art equipment, and welcoming clinical environment. Experience excellence in orthodontic care.



























